სასმელი, რომელიც მარტივად გაგანთავისუფლებთ ზედმეტი კილოგრამებისგან! აღფრთოვანებული ვარ შედეგით!
გაცხიმოვნება და ზედმეტი კილოგრამები ჯანმრთელობასთან დაკავშირებული ყველაზე მეტად გავრცელებული პრობლემაა. ძირითადი მიზეზი არის პასიური ცხოვრების სტილი და არასწორი კვება.შემოგთავაზებთ საუკეთესო რეცეპტს, რომელიც აწესრიგებს ნივთიერებათა...
როგორ მოვუაროთ შღებილ თმას, რომ დიდხანს შევინარჩუნოთ ხასხასა ფერი
თმის საღებავი 5000-ზე მეტ ქიმიურ ნივთიერებას შეიცავს. თმის შეღებვის პროცესი მთლიანად ცვლის თმის ბუნებრივ მდგომარეობას. პლატინისფერი ქერა ან ცეცხლისფერი ტონალობა შესაძლოა ძალიან გიხდებათ, თუმცა...
სამუდამოდ დაემშვიდობეთ გამომშრალ და დახეთქილ ქუსლებს! საოცარი შედეგი აქვს ამ ნიღაბს
ჩვენი ქუსები ყოველდღიურად კოლოსალურ დატვირთვას განიცდის. ბზარებისა და კოჟრების გაჩენა ქუსლების კანზე – პრობლემა, რომელიც პრაქტიკულად ყველა ადამიანს გვაწუხებს, განსაკუთრებით კი ზამთრის უხეში ფეხსაცმლის...
შედეგით გაოცდებით! ეს ნიღაბი დაგეხმარებათ გაიქროთ ლაქები სახეზე და ნაოჭებს ვეღარც კი შეამჩნევთ
ყველა კარგად ვიცნობთ ასპირინს, იგივე აცეტილსალიცილის მჟავას, რომელიც თითოეული ჩვენგანის საოჯახო აფთიაქშია. სწორედ მას მივმართავთ დახმარებისთვის მაშინ, როდესაც თავის გაუსაძლისი ტკივილი გვაწუხებს. ჩვენ არაერთხელ მოგვიყოლია ამ...
როგორ გავიქროთ მეჭეჭები სახლის პირობებში ზუსტად ერთ კვირაში
კანზე გაჩენილი ეს წარმონაქმნები, რომელთაც მეჭეჭების სახელწოდებით ვიცნობთ, ერთი შეხედვით არ წარმოადგენს საფრთხეს ჩვენი ჯანმრთელობისთვის. სინამდვილეში, ეს არის პრობლემა, რომელსაც იწვევს ადამიანის პაპილომა ვირუსი.არსებობს დაახლოებით 60-ზე...
როგორ ვებრძლოთ ნაოჭებს სახეზე? – ამ ნიღბის დახმარებით შედეგს 3 დღეში შეამჩნევთ
ამბობენ, ნაოჭები ქალს უხდებაო, ყოველი ზედმეტი ხაზი ასაკს უსასრულოდ მატებს და მხოლოდ უხერხულ კითხვაზე პასუხის გაცემას აიძულებს. ჩვენ გასწავლით კრემის დამზადებას, რომელიც ამ კითხვებზე...
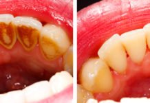
თუ კბილის ქვა და ნადები გაწუხებთ, ჩვენ დაგეხმარებით სახლისი პირობებში მოიცილოთ მარტივად
კბილის ზედაპირზე კალციუმისა და ფოსფორის მარილების დაგროვებისგან გამოწვეული პრობლემა, რომელიც უდიდეს დისკომფორტთანაა დაკავშირებული. არსებობს ორი სახის კბილის ქვა: ღრძილზედა და ღრძილქვედა. ღრძილ ქვედა ტიპის...
პროდუქტი, რომელიც დაგეხმარებათ თმის სწრაფად გაზრდაში
ბევრი გოგონა გრძელი თმის გამო უამრავ ფულს ხარჯავს შამპუნებში, ნიღბებსა და ლოსიონებში. სამწუხაროდ, უმეტესობა მათგანი მოკლევადიან შედეგს გვაძლევს. საბოლოოდ, კი გოგონები სალონურ პროცედურებს მიმართავენ...
4 პროდუქტი, რომელიც დაგეხმარებათ აკნესგან დატოვებული ლაქებისა და ნაიარევის მოშორებაში
აკნესგან დატოვებული ნაიარევი არაესთეტიკური სანახავია. საბედნიეროდ არსებობს მრავალი ნივთიერება, რომელიც ამ პრობლემას მოგიხსნით.სახლში დამზადებული კრემიდაგჭირდებათ დარიჩინის ფხვნილი და ორგანული თაფლი. თითოეული ინგრედიენტის მხოლოდ...
როგორ ვუმკურნალოთ შეშუპებულ უპებს თვალებზე
სარკეში იხედებით და თქვენი თვალის უპეები შესიებულია. ვინაიდან ეს კანის დაბერების ნიშანია, დაუყოვნებლივ უნდა დაიწყოთ ან მოკლედ მიმზიდველი კოსმეტიკური დეფექტის წინაღმდეგ ბრძოლა.შეშუპებას შეიძლება მრავალი...






































